Métodos de Diagnóstico
A aplicação dos avanços tecnológicos na saúde é fundamental para detetar patologias que seriam imperceptíveis a “olho nú”. Como tal, usamos métodos de diagnóstico variados e fidedignos.
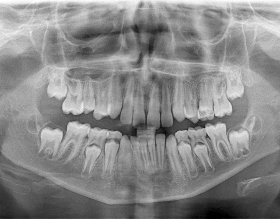
Ortopantomografia (Raio-X panorâmico)
A Ortopantomografia é uma técnica de radiografia panorâmica que utiliza raios X para fornecer informações detalhadas sobre as estruturas dentárias e a anatomia oral. Permite obter informações acerca dos dentes, das estruturas anexas como seios maxilares, maxila e mandíbula.

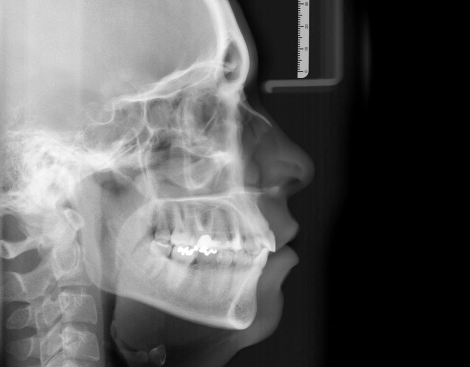
Telerradiografia
A Telerradiografia é uma técnica que auxilia os Médicos Dentistas a examinar o osso subjacente, as raízes dos dentes ou dentes não irrompidos, assim como as áreas de contato entre os dentes. Muito útil no plano de tratamento de ortodontia.

Scanner Intra-oral
O Scanner intra-oral é um dispositivo eletrónico que reproduz as estruturas anatómicas da cavidade oral em 3D, permitindo que o Médico Dentista mostre ao paciente como vão ficar os seus dentes antes de os tratar. Muitas vezes até é possível experimentar em boca um protótipo do que será o fim do tratamento.
